Detaliul socant descoperit de medici la o radiografie de rutina! Pacienta aceasta nu ar trebui sa traiasca

Medicii din China au descoperit un caz medical extrem de rar, care contrazice aproape tot ce se stie in domeniu despre functionarea creierului.
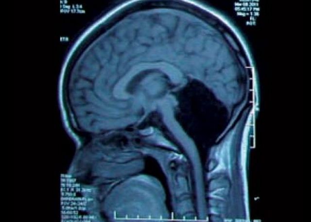
La o radiografie de rutina facuta la un spital din Provincia Shandong, China, unei tinere de 24 de ani care se plangea de greata si dureri de cap, medicii au observat ceva incredibil: femeia nu avea deloc cerebel. Cerebelul, numit si creierul mic, este zona cerebrala care controleaza echilibrul, miscarile voluntare, vorbirea si alte deprinderi motorii. Lipsa ori afectarea lui duce in mod normal la un handicap extrem de grav sau chiar la moarte.
Cu toate acestea, tanara pacienta ducea o viata normala si nu banuise nicio clipa ca sufera de o malformatie atat de grava. Ea s-a nascut practic fara cerebel, care constituie 10% din masa creierului. In locul acestuia, pacienta are un lichid cerebral, scrie publicatia Science Alert.
Cazul femeii a fost descoperit in anul 2014 si de atunci este atent analizat de medicii din intreaga lume.
Pacienta s-a dezvoltat putin mai incet decat un copil normal, adica a mers singura abia la 7 ani si a putut sa vorbeasca abia la 6 ani. In rest, duce o viata normala, este casatorita si are un copil pe care l-a nascut fara probleme.
In lume mai exista doar cateva cazuri de malformatie asa de grava, iar cele mai multe persoane care s-au nascut fara cerebel nu au supravietuit prea mult. In cazul acestei femei insa, functiile cerebelului au fost preluate de celelalte regiuni ale creierului, care au reusit astfel sa compenseze anomalia si sa functioneze aproape normal.
Acesta nu este insa cel mai ciudat caz cu care s-au confruntat medicii. In anul 2007, ei au descoperit un barbat care traia normal desi ii lipsea aproape 90% din creier.
Pacientii de acest fel ii ajuta pe medici sa inteleaga mai bine anumite aspecte legate de functionalitatea creierului si de posibilitatea acestui organ de a se adapta in situatii extreme.