Premieră extraordinară în medicină. O fetiță de 13 ani s-a vindecat de leucemie după ce a primit o terapie prin inginerie celulară

O fetiță de 13 ani care a recidivat cu un anumit tip de cancer al sângelui a scăpat de leucemie după ce a primit, în premieră mondială, ceea ce oamenii de știință au descris ca fiind cea mai sofisticată terapie de inginerie celulară de până acum.
Alyssa a declarat că a simțit că administrarea noului tratament experimental pentru această boală îi va ajuta și pe alții, scrie GBNews.
Oamenii de știință au transmis că, fără acest tratament, care a venit după ce chimioterapia și un transplant inițial de măduvă osoasă nu au reușit să-i elimine cancerul, singurul pas următor ar fi fost îngrijirea paliativă.
Adolescenta din Leicester a primit o terapie cu celule „pre-fabricate” provenite de la un donator voluntar sănătos, acesta fiind modificate cu ajutorul unei noi tehnologii, pentru a le permite să vâneze și să ucidă celulele canceroase fără a se ataca între ele.
Celulele T - sau limfocitele T - sunt un tip de celule albe din sânge care se deplasează în organism pentru a găsi și a distruge celulele defecte.
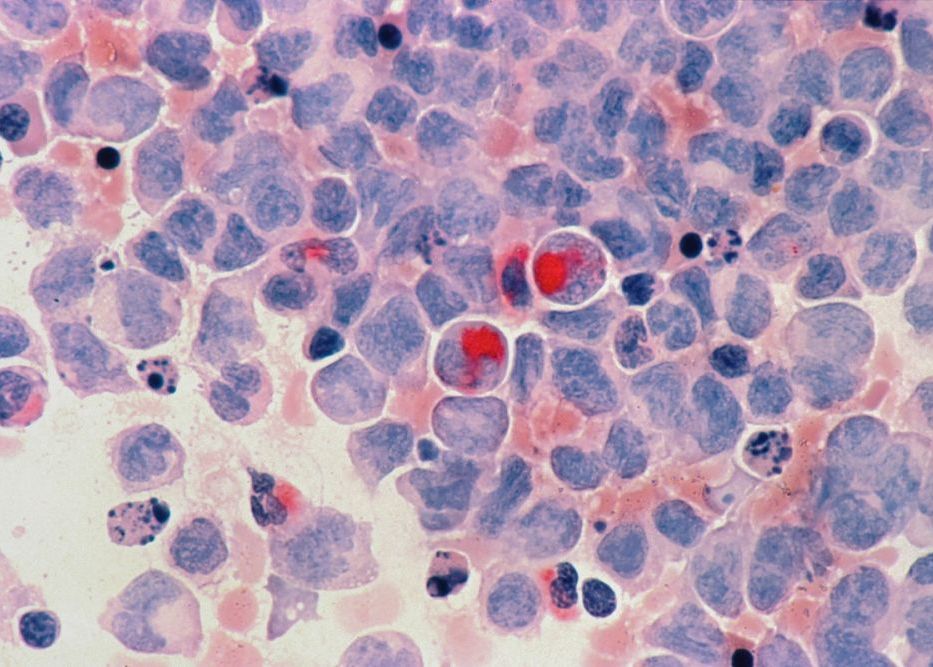
Alyssa, care a fost diagnosticată cu leucemie acută limfoblastică cu celule T (T-ALL) în 2021, a primit toate tratamentele convenționale, inclusiv chimioterapie și un transplant de măduvă osoasă, dar boala a revenit.
Ea a devenit apoi primul pacient înscris într-un nou studiu clinic, finanțat de Consiliul de Cercetare Medicală, în timpul căruia i s-au administrat celule T universale CAR (Chimeric Antigen Receptor) care au fost pre-fabricate de la un donator voluntar sănătos în luna mai a acestui an.
Celulele CAR T editate pot fi administrate unui pacient, astfel încât acestea să găsească și să distrugă rapid celulele T din organism, inclusiv cele canceroase, după care persoana poate beneficia de un transplant de măduvă osoasă pentru a-și reface sistemul imunitar epuizat.
La 28 de zile după ce i s-a administrat tratamentul, Alyssa a intrat în remisie, au declarat cercetătorii, și a putut să facă un al doilea transplant de măduvă osoasă, informează publicația citată.
Medicii speră că cercetarea, care urmează să fie prezentată pentru prima dată la reuniunea anuală a Societății Americane de Hematologie din New Orleans, SUA, ar putea duce la noi tratamente și „în cele din urmă la un viitor mai bun pentru copiii bolnavi".
__________________________________________________________________________________________________
Urmăriți emisiunile preferate pe protvplus.ro: