Stiinta

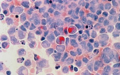
Premieră extraordinară în medicină. O fetiță de 13 ani s-a vindecat de...
O fetiță de 13 ani care a recidivat cu un anumit tip de cancer al sângelui a scăpat de leucemie după ce a primit, în premieră mondială,...

Elon Musk spune că în șase luni compania lui va începe implantarea de cipuri...
Elon Musk a declarat că se așteaptă ca un cip dezvoltat de compania sa de tehnologie medicală pentru a fi implantat în creier să...